Smile design is a personalized cosmetic dental treatment that improves the appearance and function of your smile. It addresses common concerns such as discoloration, chips, misaligned teeth, and uneven spacing.
Creating your perfect smile often involves a combination of treatments, tailored to your individual needs, Common procedures include:
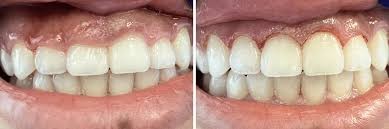
“Veneers are thin, custom-made shells that cover the front of your teeth to correct stains, chips, and minor misalignment, creating a natural, long-lasting smile.”
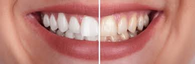
“Teeth whitening is a safe and effective way to brighten your smile by removing stains caused by coffee, tea, wine, smoking, or natural aging. Treatments can be done in-clinic for fast results or with custom take-home trays for gradual whitening. ”
“Crowns restore teeth that are damaged, decayed, or weakened, while bridges replace one or more missing teeth by anchoring to adjacent teeth or implants.”
“Dental implants are permanent replacements for missing teeth, anchored directly into the jawbone. They look, feel, and function like natural teeth. Permanent, natural-looking tooth replacements.”
“Orthodontic treatments straighten crooked, crowded, or misaligned teeth, improving both function and appearance. Invisalign provides a discreet alternative to traditional braces.”
“Gum contouring shapes uneven, excessive, or receding gums to create beautiful smile.”
Creating a perfect smile combines science, artistry, and careful planning. We consider:
Because every smile is unique, the cost of smile design can vary based on the specific treatments required.
During your personalized consultation, our team will:

Feel free to contact us
rajkumargcdentalclinic@gmail.com

Rajkumar's Dental and Implant Centre
No 9, Bugle Rock Rd, Near Tagore Circle, Gandhi Bazaar, Basavanagudi, Bengaluru, Karnataka 560004
Copyright © 2026 Rajkumar’s Dental and Implant Centre. All Right Reserved
Designed and Developed by Vriddhi Developers